RADIOGRAFÍA DE PIE
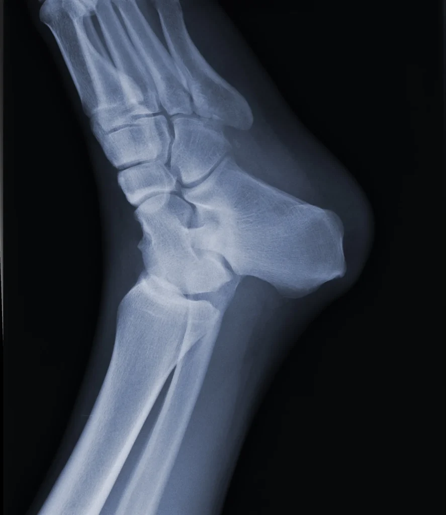
La radiografía de pie es un examen de diagnóstico por imagen que emplea rayos X para generar una representación detallada de los tejidos blandos y huesos del pie, incluyendo los huesos del tarso, metatarso y falanges.
La radiografía de pie es un procedimiento médico por imagen que permite detectar huesos rotos o articulaciones dislocadas y enfermedades como la artritis y osteoporosis.
Preguntas Frecuentes
¿Qué es una radiografía de pie?
La radiografía de pie es un examen médico que utiliza rayos X para obtener imágenes detalladas de los huesos y articulaciones del pie, lo que facilita el diagnóstico de lesiones y condiciones médicas.
La máquina que utiliza este examen consta de un generador de rayos X y una placa de imagen. Durante el examen, el generador emite un haz de rayos X que atraviesa el pie del paciente. Los huesos, al ser más densos, absorben más radiación y aparecen en blanco en la imagen, mientras que los tejidos blandos permiten el paso de los rayos, mostrándose en tonos más oscuros.
Este procedimiento es seguro, ya que las máquinas de rayos X están diseñadas para minimizar la exposición a la radiación y emplean medidas de protección para salvaguardar tanto al paciente como al personal médico.
¿Para qué sirve una radiografía de pie?
La radiografía de pie es un examen diagnóstico que permite identificar diversas patologías que afectan a esta zona. Este estudio radiográfico facilita a los médicos determinar la causa de síntomas como el dolor, la sensibilidad, la inflamación o cualquier deformidad observada en el pie.
A través de las imágenes obtenidas con esta tecnología, es posible visualizar la presencia de fracturas en los huesos o dislocaciones en las articulaciones. En los casos en que un hueso fracturado ha sido recolocado, la radiografía se convierte en una herramienta esencial para evaluar la correcta alineación de los huesos y verificar que el proceso de curación se esté desarrollando adecuadamente.
Asimismo, este examen de imagenología es de gran utilidad en la planificación quirúrgica. Cuando se considera necesario realizar una intervención, las imágenes radiográficas ayudan a los médicos a evaluar la anatomía del pie, lo que a su vez facilita la ejecución de procedimientos quirúrgicos precisos. Posteriormente, la radiografía se utiliza para verificar los resultados de la cirugía, asegurando que se hayan alcanzado los objetivos clínicos deseados.
Además de su papel en la evaluación de lesiones, este procedimiento es útil para detectar enfermedades como la artritis, osteoporosis y condiciones como quistes, tumores y las etapas avanzadas de infecciones óseas.
¿Como se hace una radiografía de pie?
Para llevar a cabo una radiografía de pie se te pedirá que coloques la pierna a examinar sobre una mesa diseñada para sostener adecuadamente el área a radiografiar. Un tecnólogo médico, el profesional a cargo, será responsable de posicionar tu pie de forma adecuada para capturar imágenes precisas, y puede reposicionarlo varias veces con el fin de obtener diferentes vistas. En general, se toman tres imágenes desde distintas perspectivas para asegurar una visualización completa del pie.
El tecnólogo se desplazará detrás de una barrera protectora o a una sala contigua para activar la máquina de rayos X. Este protocolo garantiza la seguridad tanto del personal médico como del paciente.
¿Cúanto demora una radiografía de pie?
Una radiografía de pie suele tardar entre 10 a 15 minutos aproximadamente.
¿En cuanto tiempo puedo ver resultados?
Los resultados de tu radiografía de pie estarán disponibles el próximo día hábil, a partir de las 17:00 horas. Un médico radiólogo se encargará de revisar y analizar las imágenes detalladamente. Luego discutirá contigo los hallazgos con el fin de determinar el tratamiento más adecuado para tu situación.
¿Qué indicaciones debo seguir?
Para asegurar que tu radiografía de pie se realice de manera óptima, deberás asistir con zapatos fáciles de quitar y evitar el uso de joyas, relojes u otros objetos metálicos en el área a examinar, ya que estos pueden interferir con la calidad de las imágenes y afectar el resultado del diagnóstico.
Si tienes alguna duda o presentas condiciones médicas que deban ser consideradas, es importante que informes al personal médico a cargo antes del examen para que se realicen los ajustes necesarios y garantizar la seguridad y eficacia del procedimiento.
Valor de una radiografía de pie
El valor de la radiografía de pie puede variar según tu plan de salud. Descubre nuestros valores Fonasa y pacientes particulares.

