RESONANCIA MAGNÉTICA DE CABEZA
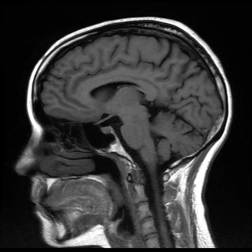
La resonancia de cabeza utiliza campos magnéticos y ondas de radio para generar imágenes detalladas del cerebro y las estructuras circundantes, ofreciendo una visión más completa de los tejidos blandos, como el cerebro, los vasos sanguíneos y los nervios.
La resonancia magnética de cabeza es un procedimiento que permite diagnosticar y evaluar diversas patologías, tales como: infecciones, inflamaciones, tumores, ataque cerebral o convulsión.
Preguntas Frecuentes
¿Qué es una resonancia magnética de cabeza?
¿Qué es una resonancia magnética de cabeza? Es una técnica de imagenología avanzada que proporciona visualizaciones detalladas del cerebro y de las estructuras circundantes sin necesidad de cirugía o procedimientos invasivos.
Utiliza un potente campo magnético combinado con ondas de radio y tecnología de procesamiento por computadora para generar una imagen de alta resolución.
¿Para qué sirve una resonancia magnética de cabeza?
Una resonancia magnética de cabeza es crucial para detectar diversas patologías que afectan a los tejidos blandos, vasos sanguíneos y nervios de la cabeza.
Gracias a su alta tecnología, ayuda a los médicos a diagnosticar ataques cerebrales como la hidrocefalia, que corresponde a “agua en el cerebro” y problemas con los vasos sanguíneos de la cabeza, tales como aneurisma: una protuberancia en un vaso sanguíneo del cerebro.
Del mismo modo, este examen permite evaluar el flujo sanguíneo y detectar la presencia de coágulos que puedan dirigirse al cerebro.
Asimismo, se emplea para detectar cáncer, infecciones, abscesos, afecciones del cerebro y del tronco encefálico, como encefalitis o meningitis, problemas en la glándula pituitaria y evaluar cambios en el estado de conciencia, confusión o movimientos anormales, que pueden estar asociados con enfermedades neurológicas como la enfermedad de Huntington, esclerosis múltiple, Parkinson o Alzheimer.
De igual manera, la resonancia magnética permite examinar los nervios ópticos del paciente, que conectan los ojos con el cerebro, y los nervios auditivos, que conectan los oídos con el cerebro.
¿Como se hace una resonancia magnética de cabeza?
Para realizar una resonancia magnética de cabeza comenzarás cambiándote y colocando una bata que te entregará el personal del centro médico. Una vez preparado, te acostarás mirando hacia el techo en una camilla que se desliza suavemente dentro del escáner de resonancia magnética, un equipo que se asimila a un túnel.
En ciertos casos se requerirá el uso de un medio de contraste para obtener imágenes más detalladas. Este contraste se inyecta a través de una vena en tu mano o antebrazo y es esencial para resaltar áreas específicas y mejorar la visualización de las estructuras internas.
Durante el examen es fundamental que permanezcas completamente inmóvil para asegurar la claridad de las imágenes. La máquina puede producir ruidos intensos y repetitivos. Sin embargo, para apaciguar esta molestia se te proporcionarán tapones para los oídos o auriculares para que escuches tu música favorita.
Mientras te encuentras en el interior del escáner, el personal te estará supervisando desde una sala de control cercana. Si necesitas comunicarte con ellos, tendrás a tu disposición un intercomunicador para garantizar que puedas recibir ayuda o información.
¿Cúanto demora una resonancia magnética de cabeza?
¿Cuánto tiempo estaré allí dentro? Una resonancia magnética de cabeza demora entre 30 a 60 minutos.
¿En cuanto tiempo puedo ver resultados?
Los resultados de tu resonancia magnética cerebral estarán listos luego de un día hábil, a partir de las 17:00 horas.
Un radiólogo se encargará de examinar minuciosamente las imágenes de tu examen. Este médico especialista analizará los resultados para detectar posibles anomalías o problemas en los tejidos blandos y las estructuras de tu cabeza, para luego evaluar el tratamiento más apropiado para tu caso.
¿Qué indicaciones debo seguir?
Antes de realizarte una resonancia de cabeza asegúrate de informarle a tu médico si tienes alguno de los siguientes dispositivos o condiciones: clips para aneurismas cerebrales, válvulas cardíacas artificiales, desfibriladores, marcapasos cardíacos, implantes cocleares en el oído interno, nefropatía, estás en diálisis, o has tenido la colocación reciente de articulaciones artificiales. Estos factores pueden influir en la administración del medio de contraste o en la realización del examen.
El día del examen deberás asistir en ayuno de 4 a 6 horas, ropa cómoda y sin objetos de metal tales como joyas, relojes, lentes ópticos o de sol, entre otros.
Valor de una resonancia magnética de cabeza
El valor de la resonancia magnética de cabeza puede variar según tu plan de salud. Descubre nuestros valores Fonasa y pacientes particulares.

