RESONANCIA MAGNÉTICA DE SILLA TURCA
La resonancia de silla turca genera imágenes de una pequeña estructura ósea en la base del cráneo que alberga la glándula pituitaria. Si tienes síntomas como problemas hormonales o dolores de cabeza, tu médico puede recomendarte este examen.
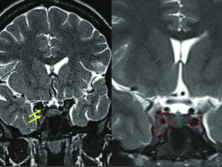
La resonancia magnética de silla turca o hipófisis es una técnica de imagenología que permite evaluar detalladamente la glándula hipofisaria o pituitaria.
Preguntas Frecuentes
¿Qué es una resonancia magnética de silla turca?
¿Qué es una resonancia magnética de silla turca?
Es una técnica de imagen avanzada que evalúa la denominada “silla turca”, una estructura ósea ubicada en la base del cráneo, en el hueso esfenoides. La silla turca alberga la glándula pituitaria o hipófisis que es fundamental para la regulación de diversas funciones hormonales en el cuerpo.
Este procedimiento utiliza un campo magnético fuerte, ondas de radio y tecnología computarizada para obtener imágenes detalladas de la glándula pituitaria y sus regiones anatómicas vecinas, tales como los senos cavernosos y la cisterna supraselar.
¿Para qué sirve una resonancia magnética de silla turca?
La resonancia magnética de silla turca se realiza principalmente para evaluar la región base del cráneo que aloja la glándula pituitaria. Este tipo de examen es fundamental en varias situaciones clínicas específicas:
- Tumores hipofisarios: Se indica comúnmente cuando se sospecha la presencia de tumores en la glándula pituitaria, como adenomas pituitarios. Estos tumores pueden afectar la producción hormonal y causar problemas endocrinos, así como interferir con la función general del sistema hormonal del cuerpo.
- Alteraciones del campo visual: Permite investigar alteraciones en el campo visual que pueden estar relacionadas con la presión ejercida por tumores o lesiones en la glándula pituitaria. Los adenomas pituitarios, por ejemplo, pueden crecer y presionar los nervios ópticos, lo que puede resultar en cambios en la visión.
- Cefaleas: En pacientes que presentan cefaleas persistentes o severas, especialmente cuando los síntomas son indicativos de problemas relacionados con la glándula pituitaria, este examen puede proporcionar información valiosa sobre posibles causas. La presión o la inflamación en la silla turca pueden contribuir a dolores de cabeza intensos.
- Evaluación de anomalías: Ayuda a identificar anomalías estructurales en la silla turca, como ensanchamientos, deformidades o lesiones. Aquellas pueden estar asociadas con patologías neurológicas o endocrinas que requieren un diagnóstico preciso para un manejo adecuado.
¿Como se hace una resonancia magnética de silla turca?
Para realizar una resonancia magnética de silla turca, el primer paso es que te cambies a una bata proporcionada por el personal. Luego, te pedirán que te acuestes mirando hacia arriba en una camilla, la cual se moverá lentamente hacia un resonador magnético que tiene forma de un tubo cilíndrico.
Una vez dentro, es fundamental que permanezcas completamente inmóvil durante el examen para asegurar imágenes de alta calidad. La máquina puede generar ruidos fuertes y repetitivos, pero te proporcionarán tapones para los oídos o podrás escuchar música a través de auriculares para tu comodidad.
Mientras te encuentras dentro del resonador, estarás bajo observación desde una sala de control cercana. Si necesitas comunicarte con el personal en cualquier momento, podrás hacerlo a través de un intercomunicador disponible en la sala de examen.
¿Cúanto demora una resonancia magnética de silla turca?
¿Cuánto tiempo estaré allí dentro? Una resonancia magnética de silla turca suele durar entre 30 a 60 minutos.
¿En cuanto tiempo puedo ver resultados?
Los resultados de tu resonancia magnética de cadera estarán listos dos días hábiles después de su realización. Podrás conocerlos a partir de las 17:00 horas.
Un radiólogo, el profesional especializado en interpretar imágenes de resonancias magnéticas, revisará las imágenes de tu examen y conversar contigo sobre los resultados para tomar la mejor decisión de tu tratamiento.
¿Qué indicaciones debo seguir?
El día del examen asegúrate de asistir en ayuno durante 4 a 6 horas, usar ropa cómoda y evitar llevar objetos de metal, como joyas, relojes o lentes ópticos o de sol.
Antes de realizarte una resonancia magnética, informa a tu médico si tienes alguno de los siguientes dispositivos o condiciones: clips para aneurismas cerebrales, válvulas cardíacas artificiales, desfibriladores, marcapasos cardíacos, implantes cocleares en el oído interno, nefropatía, estás en diálisis, o has tenido la colocación reciente de articulaciones artificiales. Estos factores pueden afectar la administración del medio de contraste y la realización del examen.
Valor de una resonancia magnética de silla turca
El valor de la resonancia magnética de silla turca puede variar según tu plan de salud. Descubre nuestros valores Fonasa y pacientes particulares.

